Trusted Heart Specialist You Can Rely On
Dr.Bhupendra Bathla offers advanced cardiac care with compassion, precision, and years of expertise.
Dr. Bhupendra Bathla is among the best cardiologist in Kota, Rajasthan. He has more than 19+ year of experience in cardiology. He is known for vast knowledege and extensive experience. He received Gold Medal for being the best resident during his Md. He is working as consultant interventional cardiologist at Bharat Vikas Parshad Hospital, Dadabari, Kota. He had worked as interventional cardiologist at prestigious institute like safdarjung hospital Delhi, Paras Hospital, Gnagaram Hospital, Metro Hospital.
He has vast experience of doing complicated angioplasty like bifurcation left main, using a modern techniques like Rotablation, FFR, OCT. He is specialist in doing ICD, CRTD, pacemaker implantation, peripheral angiography, Peripheral angioplasty, IVC Filter. He has special interest in preventive cardiology and how to prevent cardiac disease and heart attack by exercise, diet and others measures. He is using echocardiography as an important diagnostic tool to evaluate patients and plan its management Strategy. He is a specialist in congenital Echo cardiography. He is an avid reader of cardiology test-books and journals and has up-to-date knowledge of recent advances in cardiology.
His paper and publications include:Paper titled “Non Alcoholic fatty liver disease in angiographically documented coronary artery disease (CAD) v/s non CAD subjects” in AIIMS. He is life mamber of CSI (Cardiological society of india) and API (Association of physicians of india).
Dr. Bhupendra Bathla is a visionary leader in cardiology, known for his commitment to advancing heart care through innovation and excellence. His dedication to patient well-being and medical progress continues to set new benchmarks in cardiovascular treatment.
With years of experience in interventional cardiology, Dr. Bhupendra Bathla combines advanced clinical knowledge with precision care. His expertise, continuous learning, and passion for innovation make him a trusted name in heart health.
Beyond medical excellence, Dr. Bhupendra Bathla is admired for his compassionate approach to patient care. His calm demeanor, empathy, and commitment to healing create comfort and confidence for every patient he treats.
A cardiologist consultation is usually requested by your general internist, family doctor or sometimes another specialist or surgeon when he or she wishes to have a cardiac specialist (cardiologist) use his or her expertise to evaluate you. This might be one of many reasons from concern over a known or possible serious cardiac problem to a more general evaluation.
It might also include situations where you, your personal physician or your regular cardiologist wish you to have a confirmatory or second opinion. Dr. BHUPENDRA BATHLA start by speaking to you and examining you, reviewing any pertinent records available and possibly doing further diagnostic testing.
His pioneering work in interventional cardiology has not only saved lives but also inspired countless professionals to follow in his footsteps.

A cardiac consultation helps evaluate heart health, identify risk factors, and plan personalized treatment. It includes detailed examination, medical history review, and expert guidance for heart care.

A pacemaker helps regulate abnormal heart rhythms by sending electrical impulses to the heart. It ensures proper heart rate control for patients with rhythm disorders.

ECG interpretation helps detect heart rhythm abnormalities and other cardiac conditions. It plays a vital role in early diagnosis and treatment planning.

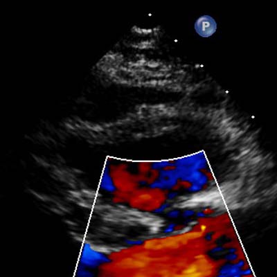
Echocardiography uses sound waves to create live images of the heart, helping assess heart structure, valve function, and blood flow.

A treadmill stress test evaluates heart performance during physical activity and helps detect reduced blood flow or irregular heart rhythms.

Angioplasty is a minimally invasive procedure used to open blocked coronary arteries and restore proper blood flow to the heart.

Coronary angiography helps visualize heart arteries using contrast dye to detect blockages or narrowing affecting blood flow.

ICD and CRT-D devices help regulate abnormal heart rhythms and improve heart function in patients with heart failure or life-threatening arrhythmias.

Peripheral angiography evaluates blood flow in limbs to detect blockages and guide effective vascular treatment.

A stent is placed inside narrowed arteries to keep them open and maintain proper blood flow to the heart.

Primary angioplasty is an emergency procedure used during a heart attack to quickly restore blood flow to blocked arteries.

Pericardiocentesis removes excess fluid around the heart to relieve pressure and improve heart function.

This procedure improves blood flow in blocked peripheral arteries using balloons and stents to restore circulation.

Pediatric cardiology focuses on diagnosing and treating heart conditions in infants, children, and adolescents with compassionate care.
Shree Vinayak Hospital, Plot no 179-180, D Mart road, Rama Krishna Puram, Kota